Currently Accepting New Patients

Gum Tissue Grafting

Do you have receding gums? Many patients come to us because they’ve noticed their gums receding, or their hygienist has pointed it out to them during their cleanings and recommended they see a periodontist for a Gum Tissue Graft.

As we always tell our patients, not every tooth with receding gums needs a gum graft. But some situations can cause uncomfortable tooth sensitivity or pain if the remaining gum is very fragile.

Sometimes receding gums cause no pain at all, but it can be a big problem if the gum recedes too far and the tooth becomes loose – or in worsening cases – the tooth can be lost altogether. In these situations, a gum tissue graft can help save the tooth & provide health for years to come.

Our periodontists are specialists who possess expertise in correcting receding gum lines. They give their patients a better chance at keeping their teeth for a lifetime.

Or in cases where the gums are receding on the front teeth – it can greatly help enhance the smile with a simple procedure.

Gum Tissue Grafting:

We often tell patients – the gum is like the skin. It’s the first line of defense against keeping harmful stuff out, like bacteria, plaque, food debris, and tartar. When a gum tissue recession occurs, the body loses its first line of natural defense against bacteria and against things like tooth brushing trauma.

When the recession is minimal (1-2mm), some healthy tissue often protects the tooth and underlying structures. In most cases, no treatment other than modifying your home care techniques is needed.

When the tissue has receded more than 2mm, often the first line of defense is gone. It is at this point where Gum Tissue Grafting is considered.

A gum tissue graft is a procedure where a thin piece of tissue is obtained from either the roof of the mouth, or a donor graft can often be used for simpler healing.

The graft is then placed in tissue recession to help strengthen the gums and prevent further damage and recession.

Goals of Gum Tissue Grafting:

We always say there are 2 goals to gum grafting:
Your consultation with Dr. Wolfe or Dr. Johnson will help determine if you are a candidate for gum grafting and what the possibilities and options may be for you.

At a Glance

Common causes and situations where Gum Tissue Grafting might be an option:
Causes of Gum Recession

Why is it important to treat recession?

Having strong, healthy gums is important for life with healthy teeth. If you or your hygienist are concerned about receding gums, please don’t hesitate to give us a call. We’d be happy to consult with you and help you to understand if you’re a good candidate for gum grafting and what the options and alternatives may be for you.

Lip Repositioning

The Lip Repositioning procedure is an additional treatment for a gummy smile.

This minimally invasive cosmetic procedure removes excess tissue from inside the mouth underneath the top lip and keeps the lip from moving so far up on smiling. This also helps treat a thin lip, bringing fullness to the upper lip and improved confidence in smiling.

This can be performed alone or in combination with Cosmetic Crown Lengthening, based on your individual needs and goals.

Please call us if you are interested in a consultation to find out how you can enhance your natural smile!

A Woman's Smile

Before and After

Treatment for a Gummy Smile Before

Treatment for a Gummy Smile Before

Treatment for a Gummy Smile After

Treatment for a Gummy Smile After

Esthetic Recession Grafting Before

Esthetic Recession Grafting Before

Esthetic Recession Grafting After

Esthetic Recession Grafting After

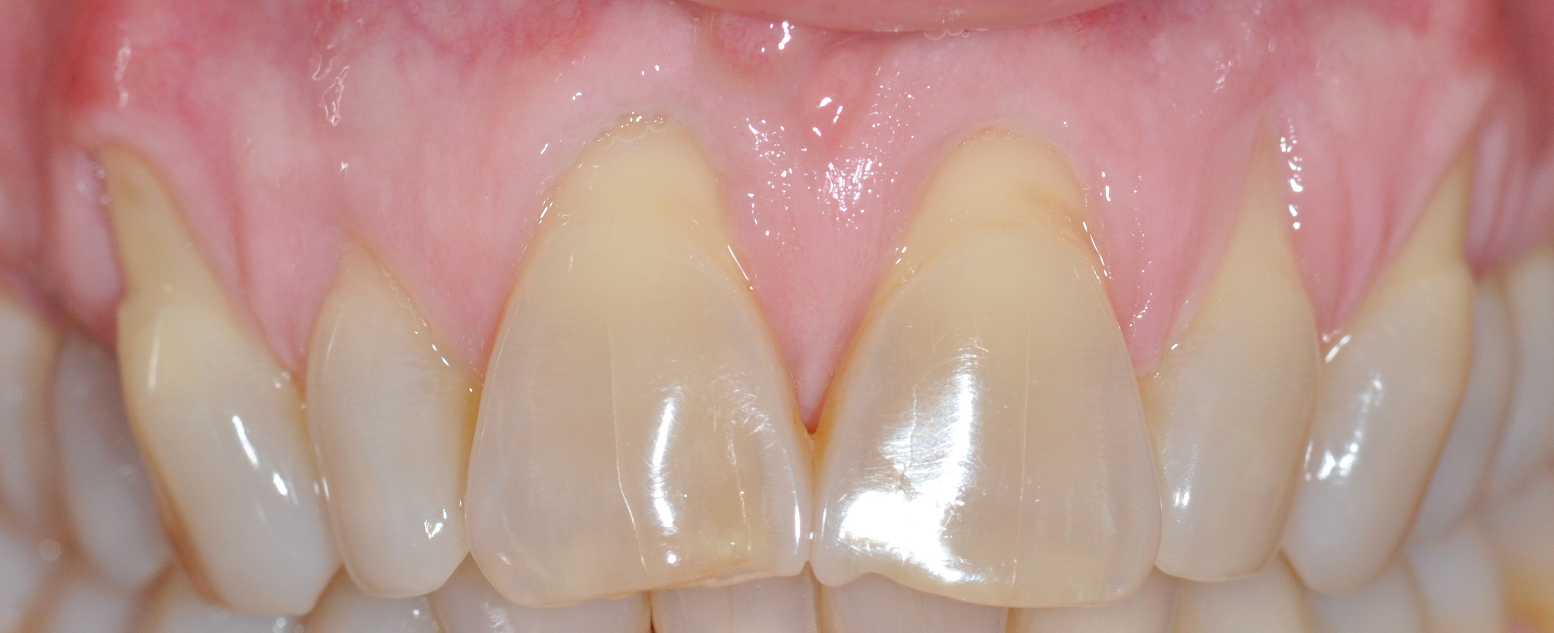
Root Coverage Grafting Before

Root Coverage Grafting Before

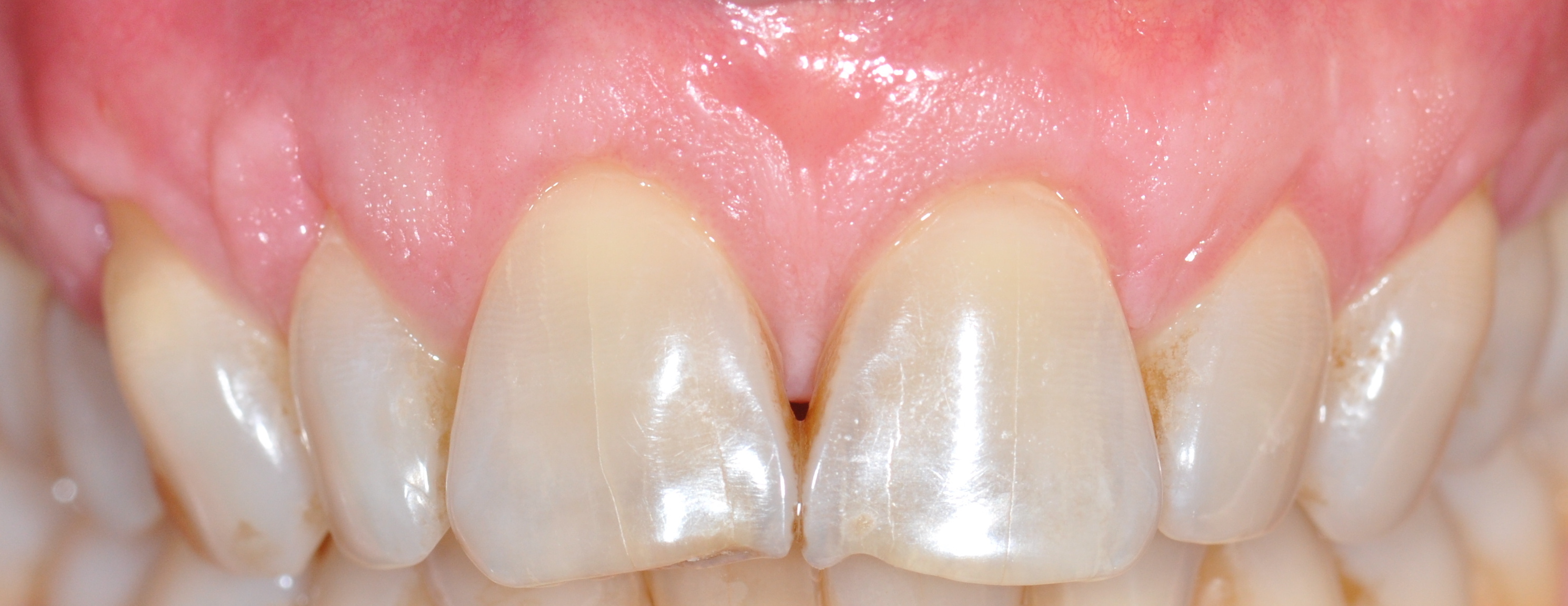
Root Coverage Grafting After

Root Coverage Grafting After